知网
大医
电子图书馆:
米兰(中国)
医院概况
医院简介
领导介绍
医院荣誉
院容院貌
传染病院
急救中心
医疗设备
行政部门
院徽 标志字体
院训
光荣榜
新闻中心
通知公告
下载专区
医院新闻
守护健康 渭医同行
三甲复审
老年友善医院
服务之窗
创建工作
90年院庆
就医指南
就诊流程
楼层分布
医保 城乡居民
健康体检
科室导航
临床科室
医技科室
重点学科
医疗动态
科室动态
医疗技术
护理园地
护理概况
护理文化
护理动态
优质护理服务专栏
科研教学
科教概况
科研公告
教学动态
国家级住院医师规范化培训
渭南市全科医师转岗培训基地
渭南市临床技能培训中心
国家药物临床试验机构
高等院校共建平台
中心实验室
医院图书馆
伦理委员会
电子院刊
党群工作
党建工作
党史学习教育
医德医风
我为群众办实事
渭医讲习所
行风建设
建院90周年
作风建设年活动
职工之家
医院文化
六院联创
智慧医院
质量医院
满意医院
平安医院
节约型医院
健康医院
健康课堂
医疗动态
科室动态
医疗技术
当前位置:
米兰(中国)
→
医疗动态
→
科室动态
→ 正文
科室动态
当前位置:
米兰(中国)
>
医疗动态
>
科室动态
> 正文
市中心医院超声科成功诊断一名罕见先心脏病患者
发布日期:2022-04-13 作者:杨晶晶 功能科 来源: 点击:[]
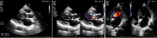
3月9日,MILAN.COM超声科主治医师魏锦为患者进行超声动态检查。
据了解,患者李某,男,63岁,因突发胸闷气短就诊于MILAN.COM心血管内科门诊。门诊医生接诊进行相关查体后,怀疑患者心脏突发急症,心电图T波异常,遂建议行超声心动图检查。
在超声动态影像检查下主治医师魏锦发现主动脉瓣环下约10mm处见线样强回声突入左室腔,为给出明确诊断,超声科心脏血管组医师共同对患者进行诊断,凭借丰富的实践经验,最终诊断结果为“左室囊袋状结构,考虑内膜撕脱”,提示患有“先天性心脏病主动脉左冠窦窦瘤形成伴破裂入左室”这种罕见病症。MILAN.COM超声科在第一时间为患者制定最佳治疗方案提供了保障。
患者遂转往空军军医大学西京医院手术治疗。术中实际情况也证实了术前的超声诊断。
“这种疾病非常罕见,诊断过程中想到这个病很关键!”西京医院相关领域专家对MILAN.COM超声诊断水平高度的认可,也展现我院超声诊断水平有了飞跃式的提高。
在医院胸心大血管外科的建立以及心脏超声技术的发展中,心脏疾病的检出率也在不断上升。作为专业心脏超声医生,不仅需要积累丰富的临床经验,还需要在日常工作中不断寻找突破口,透过现象看本质,时刻保持严谨的工作态度,对自己的每个判断、下每个诊断结果都要有高度的责任感,为患者的诊断筛查、手术成功率和患者的生命安全提供切实保障。
预约挂号
联系我们
就医指南
微信号
乐鱼网页版登录入口
|
半岛web版登录入口
|
华体会体育(中国)HTH·官方网站
|
xkty·星空体育(中国)体育官方网站
|
乐动平台
|
乐动在线注册
|
世界杯竞猜网站
|
LEYU.COM
|
开云手机平台-
|