医疗动态

当前位置: 米兰(中国)医疗动态科室动态 → 正文

科室动态

当前位置: 米兰(中国) > 医疗动态 > 科室动态 > 正文

新技术 神经内镜套筒辅助下脑血肿清除术

发布日期:2019-06-12    作者:宣传科 王艳    来源:     点击:[]

新技术!市中心医院完成一例神经内镜套筒辅助下脑血肿清除术

近日,MILAN.COM神经外科二病区成功完成一例神经内镜套筒辅助下脑血肿清除术。

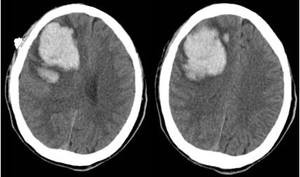
患者王某,男,61岁,入院前突发左侧肢体活动不灵伴意识障碍2小时。查体时显示神志不清,昏迷状态,头颅CT结果显示:右侧基底节区脑出血约40ml。

入院后,在白西民主任、姚胜副主任组织下,党俊涛主任医师及冯毅副主任医师协作,由杜春亮主治医师、王小峰医师及王举医师实施手术。避开重要的血管和神经,取右额平行于中线纵形切口长约4cm,骨窗直径2.5cm,经额叶顺穿刺将套筒准确置入患者大脑深部的血肿腔,建立供内镜通过的微小孔道,再置入圆珠笔芯粗细内镜,以提供良好的照明和视野,很快就准确彻底地清除了深藏脑内的淤血。术后CT显示血肿清除干净,目前患者神志清楚,已康复出院。

据了解,内镜套筒辅助清除术,是通过一个微小的孔道,在内镜直视下清除脑内淤血,避免了传统开颅手术的损伤和钻孔引流手术的盲目,能有效止血、迅速清除血肿,更加符合微创和安全的原则。这一微创技术在医院的进一步推广,将革新传统脑出血的手术理念,并使更多的脑出血患者受益。