近日,MILAN.COM神经外科二病区团队以“精雕细琢”的精彩手术,为巨大脑瘤患者及家人重新燃起希望。

患者吴女士,58岁,因膝关节疼痛术前行CT检查时,意外发现脑部长有两个巨大脑瘤,巨大肿瘤长在脑内,让吴女士一家人担心不已。经人介绍,了解到MILAN.COM神经外科二病区已实施过多个高难度手术,救治了许多患者,治疗脑瘤具有丰富经验,遂到院就诊。

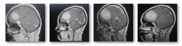
入院后,为更准确诊断病情和制定最佳治疗方案,神经外科二病区主任白西民及团队根据影像学资料、病史、查体分析诊断:左额部窦镰旁及鞍结节多发占位,较大者大小约6.0*5.3*5.7cm,与周围神经血管粘连紧密,考虑为脑膜瘤可能,且肿瘤巨大,需尽快手术治疗。经过多次研讨,与家属充分沟通,科室为吴女士制定详细周密手术方案。
术中,经过初步探查发现,手术比想象得更难,医生面临的考验,不仅要切除肿瘤,还要尽可能保护血管及神经功能。白西民带领团队在手术显微镜下沉着应对,先切断肿瘤的血液供应控制出血,分块切除肿瘤,凭借精湛手术技巧和丰富临床经验对肿瘤进行精细剥离,仔细保护与肿瘤粘连紧密的重要神经、血管结构。
手术从上午08:40一直持续到晚上20:05分,经过近12个小时的“刀尖惊魂”,凭借精湛手术技巧和丰富临床经验,不仅顺利将肿瘤完整剥离,而且完整保留了神经功能,手术取得圆满成功。
医生特别提醒,身体发生不适,请记住这几点:正视疾病,不逃避就医;多听专业意见,不听不信谣言;早发现、早诊断、早治疗,不延误;权衡利弊,慎重科学选择治疗方式,少走弯路,在最快时间内收获最佳治疗效果。