近日,一位92岁的马老先生因为头晕伴呕吐来到MILAN.COM神经外科二病区就诊,经查,患者小脑右侧长有巨大肿瘤,在医疗团队精心救治下,在显微镜下全部切除肿瘤,且完整保留神经功能,手术取得圆满成功。


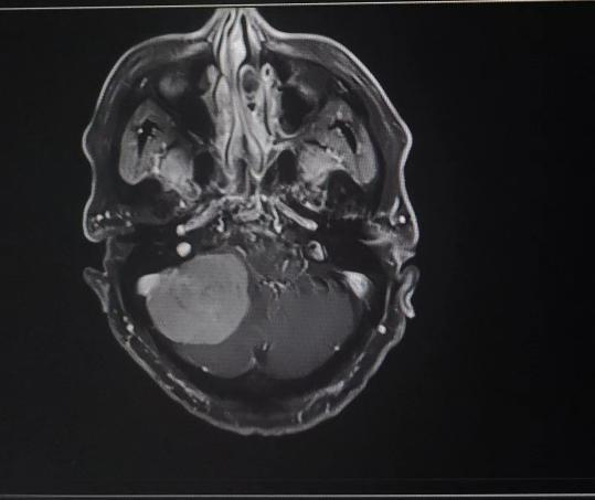
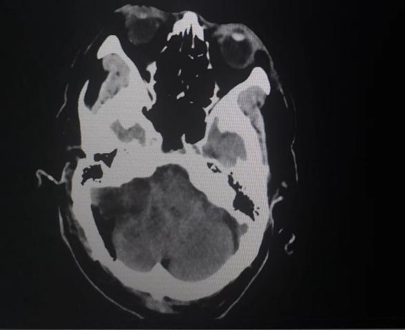
患者入院后,头颅MR检查后发现,小脑右侧长了巨大肿瘤,直径约6公分,患者家属收到不小的惊吓。患者4年前曾做过一次头颅核磁共振,当时肿瘤较小,考虑到患者已经88岁,家人还是决定保守观察,没想到如今,它已经长大到足足有一个土豆那么大,而且患者头晕较重,反复恶心、呕吐,卧床不起,因此必须进行手术,才能解决患者病症。
患者家属反复考虑、综合思量后,决定接受手术治疗。神经外科二病区主任白西民及团队进行综合评估,术前讨论,研究患者肿瘤位置、毗邻关系及心肺状况,制定周密手术方案。联合呼吸科、心内科、麻醉科及重症医学科等学科会诊,研究制定详细手术方案及应急预案。


手术时,在显微镜下沉着应对,先切断肿瘤血液供应控制出血,一边分块切除肿瘤,一边对肿瘤进行精细剥离,仔细保护与肿瘤粘连紧密的重要神经、血管结构,最后在显微镜下全部切除肿瘤,而且完整保留了神经功能,手术取得圆满成功。

高龄老人在神经外科二病区医护团队及家人精心护理照料下,度过几天危险期后,身体逐渐恢复,如今已康复下床活动,自主站立行走,安全顺利回家休养。