近日,MILAN.COM急诊科收治一外院转入脑血管患者,患者住院期间症状不稳定,伴癫痫发作、意识障碍。
急诊科讨论后给予患者复查颅脑CT,患者脑出血非常见部位,与CT室积极讨论后不排除颅内静脉窦血栓形成。经神经内科医师会诊后,考虑患者颅内静脉窦血栓形成可转入神经内科治疗。
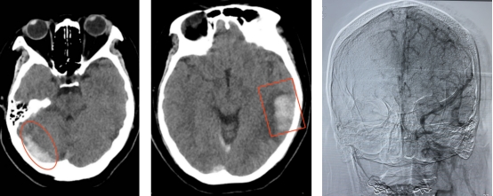
术前影像

静脉血栓影 静脉性脑出血 静脉窦广泛血栓
患者转入神经内科后,行腰穿及核磁共振检查,考虑患者颅内静脉窦广泛血栓形成,病情危重。患者有行颅内静脉窦造影及取栓指征,与患者家属商议后,第一时间脑血管造影,明确颅内静脉窦血栓,并给与颅内静脉窦取栓,5小时后患者静脉窦再通,成功回病房进一步抗凝药物治疗。
术中血栓及术后复查CE-MRV

术中取出血栓复查MRV正位复查MRV侧位
经过积极治疗,患者症状明显缓解。术后患者进行病因学检查,与风湿免疫科讨论后,考虑患者为狼疮性脑炎。经风湿免疫科抗炎、免疫抑制治疗,患者康复后出院。
出院前复查CT及患者情况

血栓影消失 血肿吸收 患者完全康复
颅内静脉窦血栓是一种少见病,发病率为13.2/100万。患者临床表现复杂,早期诊断困难,误诊率高达73%。重症静脉窦血栓若未得到及时救治可能造成非常差的预后效果。CT&MR室开展CE-MRV磁共振黑血成像技术,对静脉窦血栓诊断提供了保障。神经内科成功开展的静脉窦取栓术、静脉窦支架置入术,在颅内静脉窦诊断、治疗领域优势明显。