继首次病理科与消化内科进行MDT学术交流会后,在日常工作中开启了病理与临床的有效沟通。近期,消化内科盛竹鸽副主任医师在内镜下发现胃窦后壁一丘状隆起,遂行ESD术并将病变送至病理科。经过全部取材并制成切片,尹香利副主任医师阅片示:镜下表现与普通炎症不一样,考虑自身免疫性胃炎可能,并与临床联系建议查血胃泌素水平。很快检验结果出来了,病人的静脉血胃泌素高达199.3pg/ml。临床第一时间告知病理科检验结果,尹副主任结合形态学、免疫组化及胃泌素异常升高,最终给出了自身免疫性胃炎的病理诊断。现将该病人的情况做一简单介绍,希望对我们临床工作者发现更多这样的病例有所帮助。
临床信息:患者男,54岁,因腹胀、纳差2月余来我院消化内科就诊。行胃镜检查,于胃窦后壁见一丘状隆起,大小为0.9×0.7cm(图1),行ESD术并送病检。

实验室检查:血常规:血红蛋白:135g/L(4月12日),121 g/L(4月18日);血胃泌素检测值199.3pg/ml(正常值:<104 .58 pg/ml);碳13尿素呼气试验hp阳性。

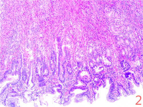
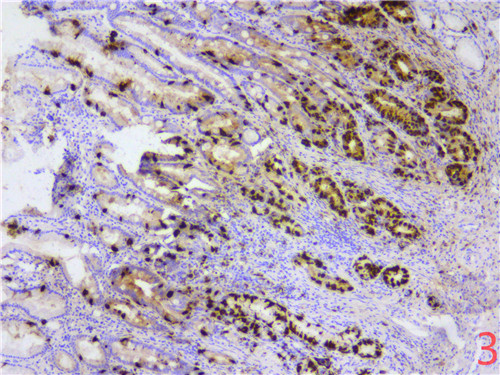
显微镜下所见:胃窦粘膜表层可见肠上皮化生,固有腺体减少,代之以假幽门腺化生,固有层内有较多淋巴细胞、嗜酸性粒细胞浸润,可深达粘膜肌内,局灶见呈巢状或腺样排列,细胞形态较一致,胞核染色质细腻的上皮样细胞(图2);免疫组化显示上述细胞CgA(图3)阳性。

病理诊断:(胃窦)自身免疫性胃炎。
总结:自身免疫性胃炎主要见于40岁以上女性,机体产生壁细胞抗体或内因子抗体,攻击胃壁细胞,致使胃酸分泌减少,反馈性触发胃窦G细胞增生并产生大量胃泌素,刺激ECL细胞持续增生。临床上自身免疫性胃炎患者有胃酸分泌减少的表现,并伴有高胃泌素血症,同时内因子缺乏以及胃酸减少影响铁吸收,导致贫血(巨细胞性贫血或缺铁性贫血)。本例患者具有自身免疫性胃炎的病理学改变,临床特征符合自身免疫性胃炎的特点,包括:高胃泌素血症,隐性贫血。这个疾病的诊断单纯靠病理学是无法明确诊断的,需要结合实验室检查及影像学检查结果进行综合判断,因此病理医师与临床医师的交流尤为重要。治疗上主要是对症治疗,如补充铁剂、维生素B12、叶酸。目前,HP感染被认为是自身免疫性胃炎的一种原因。如果HP阳性,那么抗HP治疗是尤其重要的。此外,自身免疫性胃炎是免疫系统疾病,可能会伴随其他免疫性疾病如胃神经内分泌肿瘤、自身免疫性甲状腺炎、I型糖尿病等。