今天我们来聊聊食管癌——这个被称为“沉默杀手”的疾病。在中国,食管癌是常见的恶性肿瘤之一,每年新发病例约30万例(数据来源:国家癌症中心2021年报告),在男性癌症发病谱中高居前三。作为关键治疗手段,放射治疗(简称“放疗”)能精准杀灭癌细胞,尤其适用于无法手术或中晚期的患者。它不仅保留食管功能,还能显著提高生存率:早期患者5年生存率可达80%以上。下面,就带大家一起解开食管癌放疗的谜团!

一、食管癌高危因素:这8类人必须警惕!
饮食过热:
吸烟与酗酒:
腌制与霉变食物:
咸鱼、酸菜含亚硝胺类化合物(强致癌物);
发霉谷物含黄曲霉毒素,与食管癌风险呈正相关。
果蔬摄入不足:
HPV感染:
口腔卫生差:
遗传倾向:
年龄与性别:
50岁人群占新发病例85%,男性发病率是女性3倍(与烟酒习惯差异相关)。
二、放疗在治疗中扮演核心角色:
精准打击:通过高能射线破坏癌细胞DNA,适用于所有阶段——早期可作为根治替代手术,晚期可缓解症状。
适用广泛:约60%患者需要放疗,特别对高龄或基础病患者(如心脏病)提供不开刀的方案。
数据支撑:同步放疗和化疗(同步放化疗)能将中晚期患者生存率提升50%,真正实现“带瘤生存”向“无瘤生存”的跨越。
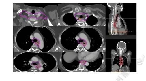
五、治疗全流程:科学规划保障疗效
放疗不是一蹴而就,分阶段管理是关键。整个过程分三步走:
阶段1:定位与计划(1~3天)
阶段2:治疗期(5-7周)
阶段3:康复管理(治疗后1~2年)
立即开始:监控副作用,如放射性食管炎(吞咽痛):使用流质饮食(如稀粥)和黏膜保护剂(如硫糖铝),发生率30%~40%。
长期维护:疲劳可通过30分钟步行+高蛋白饮食(如鸡蛋、鱼肉)改善;吞咽康复训练每天2次,每次10分钟。
生活贴士:治疗后3个月内避免辛辣、烫食;坚持每日吞咽功能训练(如吹气球),复查前保持情绪稳定。
患者最关心的10个问题
放疗会痛吗?
体外放疗无痛感,腔内治疗可能有轻微灼热感(约10%),可用镇痛喷雾缓解。
需要剃体毛吗?
仅需保持胸部皮肤清洁,无需剃毛,防止感染。
能继续上班吗?
多数患者可工作,建议避开治疗时段(如每周上午治疗)。
影响进食吗?
治疗期间有吞咽困难,可通过营养液补充;结束后逐步恢复。
放疗后还能正常吃饭吗?
早期患者可恢复90%以上吞咽功能,中晚期需康复训练。
治疗费用多少?
医保报销后自费约1万-3万元(因方案和设备不同)。
会传染吗?
食管癌非传染病,但病因(如HPV或生活习惯)可预防。
掉头发怎么办?
仅胸部照射不会脱发,同步化疗可能导致暂时脱发。
需要忌口吗?
忌辛辣、热食,多吃高蛋白、易消化食物(如豆腐、鱼肉)。
如何预防复发?
戒烟限酒 + 定期复查 + 保持免疫力(如运动、均衡饮食)。
通过科学放疗和生活管理,食管癌不再是“绝境”。记住:早诊早治是关键!分享给您身边的朋友,一起守护消化健康。